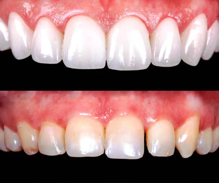
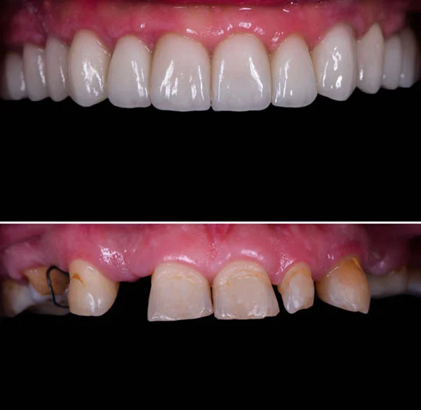
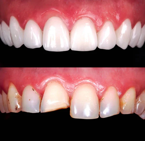
Dental Veneers
Veneers are thin, custom-crafted restorations that cover the front of the teeth. Our veneers are custom-made specifically for each patient to ensure a natural look and feel. With our high-quality porcelain materials, you can expect the new veneers to last for about a decade before replacement is necessary!
Who Needs Porcelain Veneers?
Porcelain veneers are ideal for individuals who want to improve the appearance of their smile. They are commonly recommended for people with:
- Discolored or stained teeth that don’t respond to whitening
- Chipped, cracked, or worn teeth
- Gaps between teeth
- Slightly misaligned or uneven teeth
- Irregular tooth shape or size
Veneers offer a durable, natural-looking solution for achieving a brighter, more balanced smile.
Are Dental Veneers Right for Me?
To achieve optimal, healthy results from your veneers, the front teeth may be flawed, but should be otherwise healthy enough to hold onto the veneers. If they are severely decayed or damaged, we might suggest other forms of treatment before you can have veneers placed. With the help of a thorough exam, we can determine if porcelain veneers are right for you. Most of our patients who desire cosmetic veneers can safely complete the procedure!




How Do Dental Veneers Work?
Tooth veneers work through thin shells that are applied to the front of the teeth to cover aesthetic flaws like chips, cracks, gaps, and misalignment.
Dental veneers can be customized according to shape, shade, spacing, and thickness, to fit your restorative needs and desired smile outcome. The application process requires minimal tooth prep, and the result is a strong, secure outcome designed to last!
What Type of Dental Veneer Do I Need?
At Steven Weiss, DDS we offer porcelain and composite dental veneers to meet our patients’ needs. Both materials are durable, aesthetically pleasing, and designed to last for years.
Composite veneers are crafted from tooth-colored resin. These veneers are a more affordable, quicker alternative to porcelain veneers. Composite veneers can be used to address a variety of aesthetic smile concerns.
Durable porcelain veneers are custom-made to perfectly fit each unique smile. Porcelain veneers are ultra-strong and generally last longer than composite alternatives. They provide a more natural appearance and are an excellent choice for fixing more complex aesthetic concerns.
Are Dental Veneers Uncomfortable?
Most patients experience minimal to no discomfort or pain from their dental veneer placement. Our team will ensure your comfort during the procedure by providing a mild, local anesthetic. Once your veneers are set in place, they’ll feel just like your natural teeth!
Contact Us
